CK19

产品名称分类:细胞角蛋白19抗体试剂(免疫组织化学)
克隆号:DGM012、DGR012
来源:鼠/兔
适用平台:大格、徕卡、罗氏、DAKO
定位:细胞浆
适用:石蜡切片
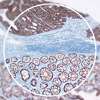
阳性对照:肝脏/扁桃体
修复方式:高pH热修复
规格:3mL/6mL/10 mL (工作液)

产品简介

CK19(Cytokeratin 19),分子量40 kDa,是一种酸性的细胞角蛋白。主要表达在移行上皮细胞的简单上皮,表皮细胞,间皮细胞和基底细胞,以及一些复杂上皮细胞的腔内、基底和肌上皮细胞。CK19抗体可用于协助腺癌的鉴定以及转移性腺癌和肝癌的鉴别,还可用于鉴定甲状腺乳头状癌。

推荐产品

沪公网安备31012002005577号