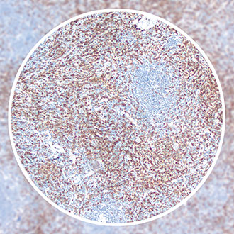
CD3

产品名称分类:CD3抗体试剂(免疫组织化学)
克隆号:DGM017、DGR017
来源:鼠/兔
适用平台:大格、徕卡、罗氏、DAKO
定位:细胞膜/细胞浆
适用:石蜡切片
阳性对照:扁桃体/阑尾
修复方式:高pH热修复
规格:3mL/6mL/10 mL (工作液)

产品简介

CD3,分子量120 kDa,是一种由5 条肽链组成的复合分子。表达于所有T细胞表面,CD3与T细胞抗原识别受体(TCR)组成复合受体分子,是T细胞识别抗原的主要单位,具有稳定TCR结构和传递活化信号的功能。CD3抗体是比较特异的T 细胞抗体,可识别正常及瘤性的T淋巴细胞与NK 细胞,常用于此类淋巴瘤的诊断。

推荐产品

沪公网安备31012002005577号