Synaptophysin

产品名称分类:突触素(Synaptophysin)抗体试剂(免疫组织化学)
克隆号:DGM022、DGR022
来源:鼠/兔
适用平台:大格、徕卡、罗氏、DAKO
定位:细胞浆
适用:石蜡切片
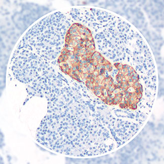
阳性对照:胰腺或嗜铬细胞瘤
修复方式:高pH热修复
规格:3mL/6mL/10 mL (工作液)

产品简介

Synaptophysin,突触素(Syn),也称主要突触囊泡蛋白p38,分子量38 kDa,是一种在人类中由SYP基因编码的整合膜糖蛋白。主要表达在神经元突触前膜和肾上腺髓质、颈动脉体、皮肤、垂体、甲状腺、肺、胰和胃肠粘膜的神经内分泌细胞及其肿瘤中。Synaptophysin抗体可用于诊断神经内分泌细胞肿瘤,如肺的小细胞癌、肾上腺嗜铬细胞瘤、甲状腺髓样癌等。

推荐产品

沪公网安备31012002005577号