p53

产品名称分类:p53抗体试剂(免疫组织化学)
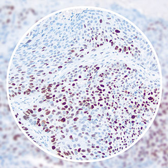
克隆号:DGM023、DGR023
来源:鼠/兔
适用平台:大格、徕卡、罗氏、DAKO
定位:细胞核
适用:石蜡切片
阳性对照:乳腺癌
修复方式:高pH热修复
规格:3mL/6mL/10 mL (工作液)

产品简介

p53,分子量53 kDa,是一种参与转录调节的核磷蛋白,由抑癌基因编码,定位于7号染色体。在所有正常细胞的细胞核中表达,但由于半衰期很短,通常免疫组织化学不能检测到p53,在肿瘤组织中,p53在50%以上的人类癌症中属于过度表达,p53通过与DNA结合,对细胞生长和分裂具有负调控作用。p53抗体可用于诊断恶性肿瘤,是一种恶性肿瘤预后的标记物,阳性表明预后不良。

推荐产品

沪公网安备31012002005577号